ÐÂÎÅÖÐÐÄ

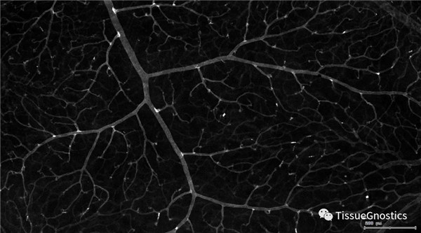
ÊÓÍøÄ¤
ÊÓÍøÄ¤ÊÇÑÛÇòÖÐÖØÒªµÄ½á¹¹Ö®Ò»£¬ËüÊÇλÓÚÑÛÇò±ÚÄÚ²ãµÄÒ»²ã͸Ã÷±¡Ä¤£¬ÖÜΧ³äÂúÁË´ó×ڵĸйâϸ°ûºÍÉñ¾ÏËά£¬Í¨¹ýËü¿ÉÒÔÖ±½Ó½ÓÊÜÀ´×ÔÍâ½çÇé¿öµÄ¹âÏß²¢ÔÚÑÛÇòÄÚÐγÉÓ°Ïñ£¬Í¨¹ýÉñ¾ÏËά½«Ó°ÏñÐÅÏ¢´«ËÍÖÁ´óÄÔÖÐÊàÐγÉÊÓ¾õ¡£
ÆäËüÖÐÊàÉñ¾ÏµÍ³ÄÚÒ²ÓÐС½ºÖÊϸ°û£¬ÔÚ½¡¿µµÄÊÓÍøÄ¤ÖУ¬Éñ¾ÔªºÍС½ºÖÊϸ°ûÖ®¼äµÄ½»Á÷¶Ôά³ÖÉñ¾ÔªÏò´óÄÔ·¢ËÍÐźŵÄÄÜÁ¦ºÜÊÇÖØÒª¡£
ÊÓÍøÄ¤Ñª¹Ü×÷ΪÈËÌåÄÚ¿ÉÒÔ½øÐзǴ´ÉËÖ±½ÓÊÓ²ìµÄÉî²ã΢Ѫ¹Ü£¬ÆäÉúÀí×´¿öµÄ¼ìºË¶Ô¸ßѪѹ¡¢ÌÇÄò²¡¡¢¶¯ÂöÓ²»¯µÈÐÄѪ¹Ü¼²²¡µÄÕï¶Ï¡¢ÖÎÁÆÆÀ¼Û¾ßÓÐÖØÒªÒâÒå¡£
Ò»°ã¶øÑÔ£¬ÑÛµ×ͼÏñͨ³£¶¼ÊÇͨ¹ý¼¤¹âɨÃè³ÉÏñ½øÐÐÊÕÂÞ£¬¿ÉÊÇÓÉÓÚÑ۵׿ÉÊÓ²ìµÄÊÓÒ°ÍùÍùÊǺÜÓÐÏ޵ģ¬Ò»¸ö»¼ÕßµÄÑÛµ×ÐÅÏ¢ÐèÒª¶àÕÅɨÃèͼÏñ²Å»ªÍêÈ«ÏÔʾ³öÀ´¡£ÕâÖÖ¾ÖÏÞÐÔ´ó´óµ¹ÔËÓÚ²¡Çé½øÐÐÈ«ÃæµÄ¡¢Ï¸ÖµÄÕï¶Ï¡£Tissue CytometryÈ«¾°×éÖ¯Á÷ʽ¶¨Á¿ÆÊÎö¼¼Êõ½øÐÐÈ«¾°Í¼Ïñ»ñÈ¡£¬ÔÚµ¥Ï¸°û¡¢×éÖ¯½á¹¹¡¢Ï¸°û¿Õ¼äÐÅÏ¢µÈ¶à¸ö²ãÃæ½øÐж¨Î»¡¢¶¨ÐÔ¡¢¶¨Á¿ÆÊÎö¡£´Ó¶ø¸üºÃµÄ¶Ô²¡±äÇøÓò½øÐÐÓÐÕë¶ÔÐԵĸú×ÙÊÓ²ìºÍÈ«ÃæÆÊÎö¡£
ʵÑéÄ¿µÄ
ÊÓÍøÄ¤Ó«¹âÑù±¾ÖÐС½ºÖÊϸ°û°ûÌå¡¢Éñ¾ÏËάʶ±ð¡¢Ñª¹Üʶ±ð¡¢Ñª¹ÜºÚµãʶ±ð¡¢Éñ¾ÔªÓëѪ¹ÜµÄ¾àÀëÆÊÎö¡£
ʵÑéÁ÷³Ì
1. ÀûÓÃTissueFAXSϵͳ½øÐв£Æ¬Ó«¹âµÄÈ«¾°É¨Ãè¡£
2. ʹÓÃStrataQuestÆÊÎöÈí¼þ½øÐж¨Á¿ÆÊÎö¡£
3. ƾ¾ÝFITCͨµÀʶ±ðÉñ¾°ûÌ岢ɸѡ³öϸ°û°ûÌ壨ϸ°ûºËʶ±ðËã·¨£©¡£
4. Ĥʶ±ðFITCȾɫÐźŵÄÇøÓòÈ·¶¨Éñ¾ÏËά£¬²¢¶Ô²î±ð³¤¶ÈÉñ¾ÏËά½øÐзÖÀà¡£
5. ʶ±ðѪ¹ÜµÄTexa RedÈ¾É«ÇøÓòÃæ»ý¼°Ç¿¶È¡£
6. ÅÌËãÉñ¾ÔªÓëѪ¹Ü¼äµÄ¿Õ¼ä¾àÀ룬²¢Í³¼ÆÊýÁ¿ºÍÕ¼±È¡£
7. ƾ¾ÝëϸѪ¹ÜÁÁ°ßµÄʶ±ð½á¹û£¬Í³¼ÆÐÂÉúСѪ¹ÜÊýÁ¿¡£
ʵÑéÀú³Ì
µ¥Í¨µÀ»Ò½×ͼ£¨¡ü£ºFITC£¬¡ý£ºTexa Red£©




ƾ¾ÝȾɫǿ¶È£¬È¾É«Ãæ»ý£¬Ï¸°ûÐÎ̬ѧ£¬ÀûÓÃÕý·´Ïò»ØËݹ¦Ð§ºÍÉèÃÅȦѡGating£¬ÅųýÔÓÖÊ£¬Ï¸°ûË鯬£¬ð¤Á¬Ï¸°û£¨ÂÌÉ«¿òÏß±ê¼Ç£©£¬»ñµÃÉñ¾Ôª°ûÌ壬£¨·ÛÉ«¿òÏß±ê¼Ç£©£¬²¢½«°ûÌ対¾ÝÃæ»ý·ÖΪÁ½Àࣨɢµãͼ£©¡£
ÓÉÓÚ¸ÃÊÓÍøÄ¤Ñù±¾ÊDZê¼ÇµÄС½ºÖÊϸ°û£¬Æ¾¾ÝÃæ»ý½«Éñ¾°ûÌå·ÖΪÁ½ÀࣨSmall bodycell£¬Big bodycell£©£¬·´Ïò»ØËÝBig bodycellÖеÄϸ°ûºó£¬Ó¦ÓÃInput Gate¹¦Ð§É¸Ñ¡¶Ì´ÖµÄÉñ¾ÏËά£¬×÷Ϊ¼¤»î̬µÄС½ºÖÊϸ°û¡£

¼¤»î̬С½ºÖÊϸ°ûʶ±ð

Ѫ¹Üʶ±ð£ºÆ¾¾ÝTexa RedͨµÀ½øÐÐʶ±ð£¬²¢È¥³ýÃæ»ýСµÄ¼°·Çͬһ½¹ÃæµÄѪ¹Ü£¬½ö¶ÔÈ·¶¨µÄÇåÎúµÄͬһ½¹ÃæµÄ´óѪ¹Ü½øÐÐÃæ»ýͳ¼Æ¡£
Ѫ¹ÜÓëС½ºÖÊϸ°ûµÄ¾àÀë

Ѫ¹ÜÓëС½ºÖÊϸ°ûµÄ¾àÀë0-0.1¦Ìm£¨ºìÉ«¿òÏß±ê¼Ç£©

Ѫ¹ÜÓëС½ºÖÊϸ°ûµÄ¾àÀë0.1-1¦Ìm£¨·ÛÉ«±ê¼Ç£©

Ѫ¹ÜÓëС½ºÖÊϸ°ûµÄ¾àÀë1-3¦Ìm£¨·ÛÉ«±ê¼Ç£©
±ðµÄ£¬Tissue CytometryÉ¢µãͼ-ÈÈÁ¦Í¼-Êý¾ÝͬÆÁµþ¼Ó±ÈÕÕ¹¦Ð§£¬¿ÉÒÔÕûºÏ¶àÖÖÊý¾ÝÆÊÎöµÄ¶þάͼÏñ£¬±ãÓÚÑо¿ÕßÃÇÖ±¹ÛµÄ±ÈÕÕÓëУÑ飻ͬÆÁ±ÈÕÕ¹¦Ð§£¬²»µ«¿ÉÒÔͬÆÁÔ¤ÀÀ£¬»¹¿ÉÒÔÖ§³Ö¶àµãʵʱÁª¶¯Ëõ·Å£¬±ãÓÚÊÓ²ì/ÆÊÎöͼÏñ£¬ÂòͨÐÅÏ¢ÆÊÎöʱÊý¾Ý-ͼÏñÖ®¼äµÄÆÁÕÏ¡£
